All-On-Four in Brandon, Gander, Mississauga & Torbay
Missing teeth can affect more than just your appearance they can impact your confidence, speech, ability to eat, and overall oral health. Fortunately, modern dentistry offers a life-changing solution: All-on-4 dental implants.
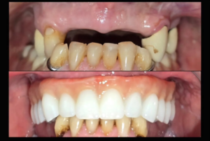
What Are All-on-4 Dental Implants?
All-on-4 dental implants are an advanced full-arch tooth replacement solution that uses just four dental implants to support a complete set of fixed, natural-looking teeth.
Dental implants rely on titanium screws to keep them attached to the gums. When you get All-on-Four® dental implants, you won’t have to replace each tooth separately, but you can replace the whole section at the same time.
How Does the All-on-4 Procedure Work?
The All-on-4 process is carefully planned and typically completed in fewer visits than traditional implant treatments.
Step-by-Step Overview:
-
Consultation & 3D Imaging
Your dentist evaluates your jawbone, oral health, and smile goals using advanced imaging. -
Implant Placement
Four implants are placed in precise angles to provide maximum support, even in areas with bone loss. -
Same-Day Temporary Teeth
In many cases, patients leave the office with a fixed temporary set of teeth the same day. -
Final Restoration
After healing, a custom, permanent prosthetic is placed—designed to look, feel, and function like natural teeth.

Benefits of All-on-4 Dental Implants
All-on-4 has become one of the most popular full-mouth restoration options—and for good reason.
-
Fixed, non-removable teeth
-
Natural look and feel
-
No slipping or clicking like dentures
-
Improved chewing and speech
-
Helps prevent jawbone loss
-
Fewer implants = lower overall cost
-
Often avoids the need for bone grafting
Patients often say All-on-4 gives them their confidence and quality of life back.
You may be a good candidate if you:
-
Are missing most or all teeth
-
Currently wear dentures
-
Have failing or damaged teeth
-
Want a fixed, long-term solution
-
Have experienced bone loss (many patients still qualify)
Even patients previously told they are “not eligible for implants” may qualify for All-on-4 due to its innovative placement technique.

FAQ :
- How Long Do All-on-4 Implants Last?
With proper care and regular dental checkups, All-on-4 implants can last decades. The implants themselves are designed to be permanent, while the prosthetic teeth are built for durability and aesthetics.
- Is All-on-4 Worth It?
For many patients, the answer is yes. All-on-4 offers a life-changing improvement in comfort, function, and confidence without the ongoing frustrations of removable dentures.
- Who Is a Good Candidate for All-on-4?
You may be a good candidate if you are missing most or all teeth, currently wear dentures, have failing or damaged teeth, want a fixed, long-term solution or have experienced bone loss (many patients still qualify).
- How soon can I get teeth?
Many patients receive temporary teeth the same day.

Restore Your Smile with All-on-4 Dental Implants at Smiles of Canada
If you’re ready to replace missing teeth with a secure, long-lasting solution, All-on-4 dental implants at Smiles of Canada may be right for you. A professional consultation can help determine the best path to restoring your smile and confidence.
Book your complimentary consultation today with Smiles of Canada and take the first step toward a permanent smile. We proudly provide All-on-4 dental implant solutions for patients in Ontario, Newfoundland, and Manitoba.